За інформацією: Суспільне Харків.

Врятований собака у ветклініці. Центр поводження з тваринами/Facebook
Водій збив собаку в районі м'ясокомбінату та лишив його на проїжджій частині. До клініки тварину привезла інша водійка. У собаки діагностували перелом гомілки задньої лапи.
Про це 1 березня повідомили у КП "Центр поводження з тваринами".
"До нашого притулку надійшов виклик від жінки, яка в районі м’ясокомбінату почула глухий удар з іншого боку дороги й пронизливий крик собаки. Коли вона вийшла з авто, побачила песика, який лежав просто на проїжджій частині, та машину, що вже поїхала далеко вперед. Не вагаючись, жінка вирішила врятувати тварину й привезла його до нашої ветеринарної лікарні", — йдеться у повідомленні.

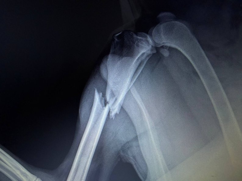
Перелам гомілки у собаки. Центр поводження з тваринами/FacebookПесика одразу оглянули та провели повне обстеження. Малюк зовсім молодий, йому ще немає й двох років. Попри сильний біль і пережитий стрес, він виявився дуже контактним, грайливим і постійно тягнувся до людей. Наші лікарі ухвалили рішення про термінову операцію. Втручання пройшло успішно. Лапка заживає, песик поступово відновлюється та з кожним днем почувається краще.

Врятований собака у ветклініці. Центр поводження з тваринами/Facebook
У центрі зазначили, що собаку знайшли в нашийнику.
Якщо ви впізнали свого улюбленця або улюбленця ваших знайомих, будь ласка, зверніться за телефонами: 0800504313, 0679207904.












